В Турции женщины специально уменьшают рост, чтобы завести отношения
Многие люди мечтают увеличить свой рост. Ради этого они решаются на мучительные и опасные операции. А в Турции... появился прямо противоположный тренд — женщины специально уменьшают рост. Но ради чего? Как выяснилось, все ради того, чтобы завести отношения. Якобы турки комплексуют и не хотят встречаться с девушками, которые с ними одного роста или выше. Дурдом...
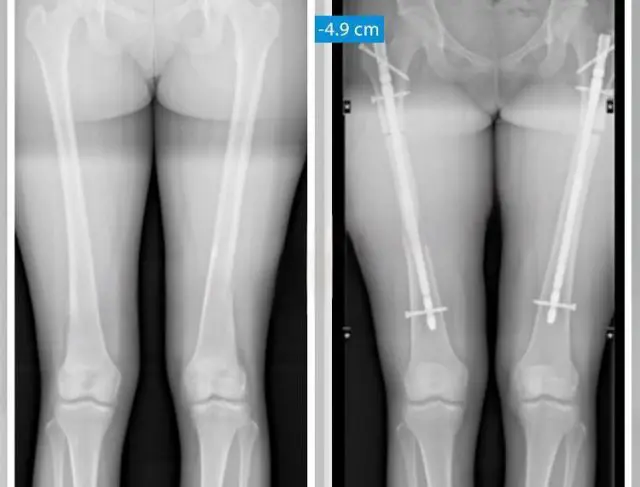
Хирурги спиливают часть бедренной или большеберцовой кости, уменьшая рост на 3–5,5 см. Например, одна пациентка снизила свой рост с 172 до 167 см.




Хирурги спиливают часть бедренной или большеберцовой кости, уменьшая рост на 3–5,5 см. Например, одна пациентка снизила свой рост с 172 до 167 см.










Посетители, находящиеся в группе Гости, не могут оставлять комментарии к данной публикации.